首页
>> >> >>
医院新闻
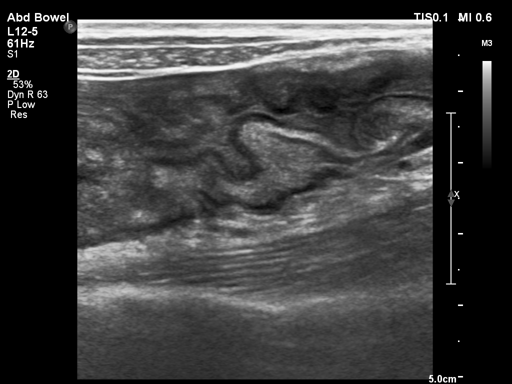
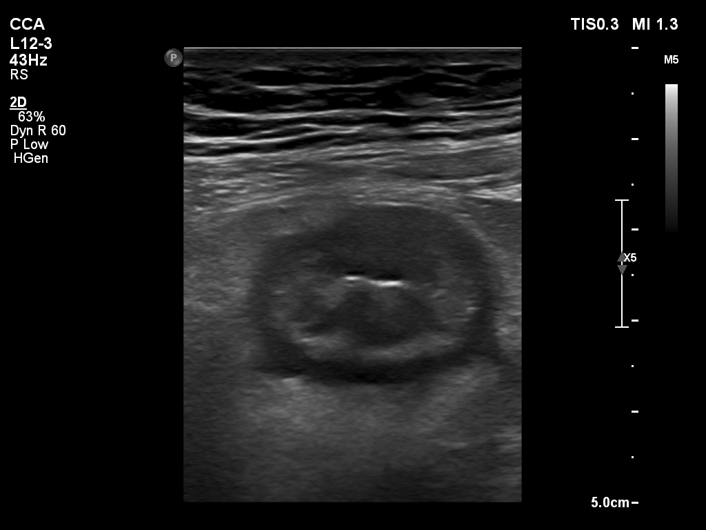
结肠超声
结肠超声是应用高频线振探头扫查炎性肠病患者的病变肠管,对病变范围、增厚程度、狭窄情况、炎症阶段进行评估与诊断。

虽然肠道超声检查因为设备检查原理的限制,具有可视区域范围小、缺少全景视角的不足,但超声检查也同时具有费用低、设备易获得、无辐射、可实时评估肠蠕动、空间分辨率高、不需要镇静、麻醉或抗蠕动药物、不需要口服或静脉注射造影剂等优势。

超声检查能实时观察肠壁的增厚、充血、管腔异常和蠕动改变;肠周系膜组织的炎性改变、纤维脂肪增生、局部淋巴结增大、瘘管和瘘道的形成及异常积液及肛周病变。为临床诊断和治疗方案的制定提供支持,同时适用于炎性肠病患者的检查及治疗后的复查。

无障碍访问
北京市卫生健康委员会
